
Calcifilaxia: o que realmente muda sua prática no diagnóstico e manejo?
Nunca é fácil conduzir um paciente com diagnóstico de Calcifilaxia, confere essas dicas de diagnóstico e tratamento que fazem diferença no manejo!
Luís Sette
10 dias atrás
190 artigos

Nunca é fácil conduzir um paciente com diagnóstico de Calcifilaxia, confere essas dicas de diagnóstico e tratamento que fazem diferença no manejo!
Luís Sette
10 dias atrás

A sorologia HTLV positiva apareceu no pré-transplante renal. O que fazer? Inscreve na lista, aguarda, investiga mais? A resposta não é óbvia — e os detalhes importam muito.
Valkercyo Feitosa
10 dias atrás

Eritropoetina em paciente DRC com câncer: você trata a anemia e pode estar acelerando o tumor. Essa é uma das decisões mais difíceis da nefrologia — e os dados são mais alarmantes do que a maioria lembra.
Valkercyo Feitosa
19 dias atrás

O cateter tunelizado infeccionou e não há acesso alternativo. Remover ou tentar salvar? Esse RCT testa uma solução barata e biologicamente racional — mas com um obstáculo que o estudo quase esconde.
Valkercyo Feitosa
19 dias atrás

Creatinina subiu no lúpus: flare… ou você está tratando hemodinâmica como doença? Nem toda piora é imunológica — e errar aqui muda completamente a conduta. Veja o raciocínio prático para não intensificar imunossupressão à toa.
Luís Sette
24 dias atrás

Belimumabe realmente mudou o tratamento da nefrite lúpica — mas será que devemos iniciar terapia tripla para todos os pacientes? Os dados do BLISS-LN sugerem que a resposta pode depender principalmente do nível de proteinúria.
Luís Sette
2 meses atrás

Nefrite lúpica classe V: quando tratar e como escolher a imunossupressão? O KDIGO traz uma abordagem prática baseada principalmente na gravidade da proteinúria e risco de síndrome nefrótica. Neste post, revisamos quando iniciar imunossupressão, esquemas preferidos e metas de resposta na prática do nefrologista.
Valkercyo Feitosa
2 meses atrás

Será que o tratamento de Prurido na Hemodiálise deve se concentrar apenas no controle do Fósforo? Confere dicas simples e práticas de como seguir o tratamento
Valkercyo Feitosa
2 meses atrás

Você ainda confia mais no estetoscópio do que no ultrassom? A ausência de linhas B praticamente exclui congestão — e pode evitar diurese desnecessária. Descubra por que BNP e POCUS mudam muito mais sua probabilidade diagnóstica do que o exame físico isolado.
Luís Sette
2 meses atrás

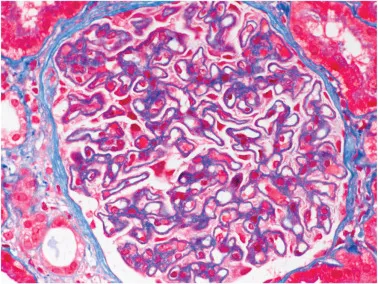
Você iniciaria antibiótico ou perceberia que aquela “celulite” pode ser calcifilaxia — uma condição com mortalidade de até 50%? Na DRC, lesões cutâneas não são apenas dermatológicas: podem ser o primeiro sinal de uma complicação sistêmica grave que o nefrologista não pode deixar passar.
Luís Sette
2 meses atrás

Hiperaldosteronismo primário é causa frequente e subdiagnosticada de hipertensão resistente — e a hipocalemia nem sempre está presente. Interpretar corretamente aldosterona/renina e indicar espironolactona pode mudar prognóstico cardiovascular e renal — e até curar alguns pacientes.
Luís Sette
2 meses atrás

Confere como calcular e interpretar o KtV na diálise peritoneal
Valkercyo Feitosa
2 meses atrás

Imprecisões nas equações de TFGe podem gerar mudanças artificiais na função renal, especialmente na transição do cuidado pediátrico para o adulto. Essas variações não explicadas causam ansiedade, perda de confiança e até erros na condução clínica. Cabe ao nefrologista contextualizar os números e reduzir o sofrimento do paciente por meio de comunicação clara e interpretação clínica adequada.
Valkercyo Feitosa
3 meses atrás

Trombolíticos intraluminais (tPA ou uroquinase) são ferramentas eficazes para restaurar rapidamente o fluxo do cateter de hemodiálise com suspeita de trombose. Devem ser usados de forma protocolizada e precoce, lembrando que o efeito é temporário e falhas recorrentes indicam troca do cateter.
Valkercyo Feitosa
3 meses atrás

DRC “indeterminada” raramente é falta de diagnóstico — quase sempre é falta de método. Tempo de evolução, urina bem avaliada, USG renal e história clínica dirigida mudam conduta e evitam erros comuns na prática nefrológica.
Luís Sette
3 meses atrás

iSGLT2 podem manter benefícios mesmo em diálise por efeitos cardiovasculares e metabólicos além do rim. Na hemodiálise, há sinais de melhora hemodinâmica e possível redução de eventos, com boa segurança, mas evidência ainda limitada. Na DP, os dados são inconsistentes; por enquanto, uso não rotineiro e apenas individualizado.
Luís Sette
4 meses atrás

Confere as principais novidades do KDIGO 2026 Clinical Practice Guideline for the Management of Anemia in Chronic Kidney Disease: reforço da ideia de que tratar anemia na DRC não é “normalizar Hb”, mas reduzir sintomas e evitar transfusão com segurança.
Luís Sette
4 meses atrás

Confere as principais novidades do KDIGO 2026 Clinical Practice Guideline for the Management of Anemia in Chronic Kidney Disease: reforço da ideia de que tratar anemia na DRC não é “normalizar Hb”, mas reduzir sintomas e evitar transfusão com segurança.
Luís Sette
4 meses atrás

Pacientes com hemofilia também chegam à diálise — e escolher a modalidade certa pode mudar tudo. Compartilhe este guia com colegas que lidam com doenças raras na Nefrologia.
Valkercyo Feitosa
4 meses atrás

2025 não foi um ano de revoluções, mas foi um ano de consolidação na nefrologia. Entre diálise, doença cardiovascular e glomerulopatias, os grandes estudos mostraram com mais clareza onde insistir, onde parar e onde ajustar a estratégia — com surpresas positivas, especialmente fora do “território tradicional”. Esta primeira parte reúne os temas que realmente mudaram a prática em 2025, com dados mais maduros e menos promessas vazias.
Luís Sette
4 meses atrás

2025 não foi um ano de revoluções, mas foi um ano de consolidação na nefrologia. Entre diálise, doença cardiovascular e glomerulopatias, os grandes estudos mostraram com mais clareza onde insistir, onde parar e onde ajustar a estratégia — com surpresas positivas, especialmente fora do “território tradicional”.
Luís Sette
4 meses atrás

Na DRC, NT-proBNP e troponina raramente são “falso positivo”: não fecham diagnóstico isoladamente, mas carregam informação prognóstica robusta. Mais do que pontos de corte, o valor está em tendência individual, estabilidade e contexto clínico, refletindo remodelamento e risco cardiorrenal.
Valkercyo Feitosa
4 meses atrás

Proteinúria entre 0,5–1,0 g/dia na NIgA não é benigna e já se associa a maior risco de progressão renal. A evidência atual reforça <0,5 g/dia como alvo terapêutico, valorizando proteinúria cumulativa e tendência ao longo do tempo. Antes de pensar em imunossupressão, o foco deve ser otimização máxima da terapia de suporte e estratificação cuidadosa de risco.
Luís Sette
4 meses atrás

A cistatina C refina a estimativa da TFGe em cenários nos quais a creatinina falha, permitindo melhor diagnóstico, estadiamento e estratificação de risco da DRC. Casos clínicos ilustram como a discordância entre TFGe-creatinina e TFGe-cistatina C impacta decisões críticas, como início de diálise e prescrição de fármacos nefrotóxicos.
Valkercyo Feitosa
4 meses atrás

Hipofosfatemia em diálise: atenção! HD diária, noturna ou gestação em diálise podem levar à hipofosfatemia clinicamente relevante, associada a fraqueza muscular, arritmias, osteomalácia e maior mortalidade. U0001F4A1 Reposição pelo dialisato é a estratégia mais fisiológica e previsível.
Valkercyo Feitosa
5 meses atrás

Febre aguda, mialgia e creatinina subindo após viagem: quando a IRA não é séptica, mas sim doença tropical. Dengue, malária, leptospirose, febre amarela, chikungunya e scrub typhus podem simular virose, mas devastar o rim rapidamente. Veja como organizar o raciocínio nefrológico diante de febre + exposição epidemiológica.
Luís Sette
5 meses atrás

A remissão da DRC deixou de ser conceito teórico: com terapia combinada (iSRAA + SGLT2i + finerenona + GLP-1RA), muitos pacientes podem atingir declínio renal fisiológico e normalização da albuminúria. O artigo de Tangri et al. mostra que até DRC moderada–avançada pode regredir quando tratada agressivamente. Estamos preparados para trocar “retardar progressão” por buscar remissão como meta terapêutica real?
Luís Sette
6 meses atrás

No congresso ASN 2025 foram apresentadas terapias inovadoras para Nefropatia da IgA com destaque para ensaios fase 3, estratégias de diálise em pacientes com Insuficiência Renal Aguda (IRA) e o ensaio PISCES demonstrou que suplementação diária com óleo de peixe reduziu eventos cardiovasculares em hemodiálise. Prepare-se para um mergulho rápido nas mudanças de conduta que vêm por aí!
Luís Sette
6 meses atrás

Nem toda budesonida é igual: enquanto a forma comum age no intestino e pulmões, a budesonida direcionada (Nefecon/Tarpeyo) libera o fármaco apenas no íleo distal, onde se origina a IgA anômala. Resultado: ação imunomoduladora seletiva com menor efeito sistêmico e benefício renal comprovado na IgA nefropatia.
Luís Sette
6 meses atrás

O rituximabe transformou o manejo das glomerulopatias autoimunes, oferecendo remissões duradouras com menor toxicidade que regimes citotóxicos clássicos. A segurança depende de preparo técnico rigoroso, triagem adequada e vigilância contínua.
Valkercyo Feitosa
6 meses atrás

O gadolínio “grupo 2” é bem mais seguro, mas ainda requer cautela em pacientes com DRC avançada. O risco de fibrose sistêmica nefrogênica é muito baixo, porém não nulo, especialmente em doses altas ou repetidas. A regra prática continua sendo individualizar, minimizar e monitorar — e só indicar diálise se o paciente já for dialítico.
Luís Sette
6 meses atrás

DISCOVER CKD: O Mundo Real Confirma o que os Ensaios Já Sabiam Os dados do mundo real reforçam o que os grandes trials já apontavam: tratar precocemente faz diferença. Veja como o estudo DISCOVER CKD redefine a prática clínica na nefrologia contemporânea.
Luís Sette
7 meses atrás

DRC no Idoso: Mesmo Tratamento, Novo Propósito O envelhecimento redefine o manejo da doença renal crônica — não basta tratar, é preciso cuidar com propósito. Descubra como ajustar condutas, metas e prioridades para preservar função e qualidade de vida.
Luís Sette
7 meses atrás

Intoxicação por Metanol: Reconhecer Cedo é Salvar Tempo e Neurônios A evolução é tempo-dependente e o dano, irreversível se tardar o tratamento. Inibir a ADH, alcalinizar precocemente e indicar hemodiálise com critério são atitudes que salvam retina e cérebro — especialmente quando o diagnóstico laboratorial ainda não chegou.
Valkercyo Feitosa
7 meses atrás

Urolitíase por ácido úrico tem como alvo central o pH urinário, mas nos refratários o manejo exige titulação cuidadosa de alcali, adesão rígida e, se preciso, xantino-oxidase. ⚖️ Escolher entre citrato-K e bicarbonato de sódio depende do perfil clínico e dos riscos associados. 👉 Quando a alcalinização não basta, o nefrologista precisa seguir um roteiro sistemático para evitar recorrência.
Valkercyo Feitosa
7 meses atrás

A Diretriz Brasileira de Hipertensão 2025 traz metas mais agressivas para pacientes renais (<130x80 mmHg; até <120 em casos selecionados). U0001F48A Novas drogas cardiorrenais (iSGLT2, finerenona, GLP-1) entram na rotina, e a denervação renal ganha espaço nos refratários. Para o nefrologista, o recado é claro: controlar pressão cedo, integrar terapias e sempre reavaliar peso seco antes de escalar fármacos.
Luís Sette
7 meses atrás

A cirurgia bariátrica metabólica é uma ponte estratégica para viabilizar o transplante renal em pacientes obesos, com potencial de reduzir complicações e melhorar a sobrevida. Já pensou quais pontos o nefrologistas deve participar e se preocupar quando o assunto é cirurgia bariátrica? Confere esse post que abordar os pontos mais importantes para o nefrologista!
Valkercyo Feitosa
8 meses atrás

Quando diagnosticamos um paciente com Doença Renal Policística Autossômica Dominante (DRPAD) é fundamental classificar o prognóstico do paciente calculando o volume renal total (total kidney volume, TKV). Nesse vídeo explicamos como realizar e interpretar essa classificação!
Valkercyo Feitosa
8 meses atrás

O prurido urêmico continua sendo um dos sintomas mais desafiadores da DRC, impactando fortemente a qualidade de vida. Mesmo com diálise adequada, muitos pacientes seguem sintomáticos. Novas evidências apontam para uma abordagem sequencial que vai além dos anti-histamínicos, com destaque para gabapentinoides e terapias emergentes.
Valkercyo Feitosa
8 meses atrás

Chamada para redes sociais: BK e transplante renal: você ainda espera a biópsia para agir? Viremia sustentada já é sinal de perigo. Atualize sua conduta com base nas melhores evidências!
Valkercyo Feitosa
8 meses atrás

Cãibras na hemodiálise: um sintoma frequente, mas que pode esconder muito mais do que desconforto. Alterações de ultrafiltração, distúrbios hidroeletrolíticos e perfis de tratamento estão no centro dessa complicação. No post, veja como prevenir e manejar as cãibras durante a sessão.
Valkercyo Feitosa
9 meses atrás

A hemodiafiltração (HDF) combina difusão e convecção, promovendo depuração eficiente de pequenas e médias moléculas. Pode ser realizada em diferentes modalidades, variando conforme a via de infusão e o volume convectivo. Na prática, a prescrição deve individualizar fluxo, volume e reposição, visando eficácia dialítica e segurança do paciente.
Luís Sette
9 meses atrás

O momento ideal da diálise pré-operatória deve equilibrar risco de sobrecarga volêmica/uremia e risco de hipotensão ou sangramento. Em pacientes em diálise crônica, manter o padrão habitual ou realizar no dia anterior (ou no mesmo dia com ≥6h antes da cirurgia) reduz mortalidade. Em não dialíticos de alto risco, a diálise profilática pode diminuir complicações e otimizar o estado clínico.
Luís Sette
9 meses atrás

Ainda trata GESF do jeito antigo? Veja o novo algoritmo passo a passo! A abordagem da glomeruloesclerose segmentar e focal mudou — e muito. As classificações atuais vão além da histologia, integrando genética, etiologia e resposta terapêutica. Este post resume o novo algoritmo diagnóstico-terapêutico de forma prática, para você atualizar sua conduta em minutos.
Luís Sette
9 meses atrás

Hidroxicloroquina na IgA gestacional: evidência promissora? Dois casos clínicos recentes mostram melhora da proteinúria com o uso de HCQ em pacientes com NIgA durante a gestação. Uma alternativa segura quando iSRA e SGLT2i estão contraindicados. Vale a pena conhecer!
Valkercyo Feitosa
9 meses atrás

O uso indiscriminado de suplementos de vitamina D vem crescendo, muitas vezes em doses muito acima das recomendações. Essa prática pode levar à hipercalcemia grave, lesão renal aguda e calcificações teciduais, exigindo reconhecimento e intervenção precoces.
Luís Sette
9 meses atrás

O manejo dos cálculos de ácido úrico vai além da alcalinização urinária. Neste post, você aprende tudo: fatores de risco, defeitos fisiopatológicos e como conduzir o tratamento de forma prática, segura e eficaz.
Valkercyo Feitosa
9 meses atrás

Devo suspender iECA/BRA durante a IRA hospitalar? A interrupção de bloqueadores do SRAA em pacientes internados com injúria renal aguda ainda gera debate: proteger o rim ou manter o benefício cardiovascular?
Luís Sette
9 meses atrás

GESF corticorresistente em adultos: quando insistir, parar ou investigar genética? A decisão terapêutica na GESF corticorresistente exige equilíbrio: até onde ir com imunossupressores e quando considerar mutações genéticas como causa?
Luís Sette
9 meses atrás

Finerenona no contexto de piora aguda da função renal: o que os novos dados mostram? Estudo recente avalia eficácia e segurança do uso da finerenona mesmo diante de elevações transitórias da creatinina. Entenda como interpretar esse achado na prática clínica e quando manter ou suspender o tratamento.
Luís Sette
10 meses atrás

Vai pulsar com metilprednisolona? Confira os cuidados essenciais antes de iniciar a pulsoterapia: Um checklist rápido e prático para garantir segurança na prescrição!
Luís Sette
10 meses atrás

Paciente com NIA não respondeu ao corticoide? Descubra quais passos seguir, como abordar o risco de irreversibilidade e quais opções terapêuticas ainda podem ser consideradas.
Valkercyo Feitosa
10 meses atrás

Imunoterapia em pacientes com transplante renal: risco proibitivo ou desafio gerenciável? Confira estratégias práticas para mitigar rejeição sem comprometer o controle oncológico.
Valkercyo Feitosa
10 meses atrás

Nefrite Intersticial Aguda (NIA) é uma das causas reversíveis de injúria renal aguda. O uso de corticoides pode acelerar a recuperação da função renal, mas deve ser criterioso. Saiba quando e como prescrever com segurança.
Luís Sette
10 meses atrás

Direto do Congresso Europeu de Nefrologia 2025: os principais destaques em glomerulopatias, novas terapias e decisões clínicas baseadas em evidência. U0001F4D6 Atualize-se com os aprendizados mais impactantes da aula!
Luís Sette
10 meses atrás

CMV no transplante renal: seguir com profilaxia universal ou apostar na terapia preemptiva? Entenda os prós e contras de cada abordagem e o que dizem as diretrizes mais recentes!
Valkercyo Feitosa
10 meses atrás

A contracepção na mulher com DRPAD exige mais que prevenção da gestação: é ferramenta estratégica para conter a progressão da doença hepática associada. O novo guideline KDIGO 2025 traz orientações práticas e seguras para essa decisão clínica. Confira no post!
Valkercyo Feitosa
10 meses atrás

Rituximabe revoluciona o tratamento da Nefropatia Membranosa: remissão sustentada e preservação da função renal em até 10 anos. Saiba por que essa terapia virou protagonista no manejo da doença!
Luís Sette
10 meses atrás

Já se perguntou sobre o uso da Tirzepatide no paciente em hemodiálise? confere esse artigo que pode auxiliar um pouco quando avaliamos a prescrição deste medicamento nos pacientes em diálise.
Valkercyo Feitosa
11 meses atrás

Você sabe quando suspeitar de infecção de cisto em pacientes com DRPAD? Nem toda febre é pielonefrite! Veja os achados clínicos e radiológicos que ajudam no diagnóstico, escolha os antibióticos com melhor penetração e evite falhas terapêuticas. Post indispensável para nefrologistas que lidam com infecção renal em pacientes com múltiplos cistos!
Valkercyo Feitosa
11 meses atrás

O tratamento da disfunção no paciente com insuficiência cardíaca não é nada fácil! Vamos para uma sessão de questões desafios para discutir pontos essenciais no tratamento!
Luís Sette
11 meses atrás

GLP-1 pode prejudicar os rins? Saiba o que todo nefrologista deve lembrar ao prescrever ou acompanhar pacientes em uso desses análogos. Confira nossa revisão prática.
Valkercyo Feitosa
12 meses atrás

Sabe aqueles casos que aparecem no final do plantão do nefrologista? confere situações corriqueiras, mas que temos que estar atentos para condutas adequadas!
Luís Sette
12 meses atrás

Como tratar a obesidade em candidatos ao transplante renal? Cirurgia ou remédio? Descubra as vantagens, limites e aplicações práticas de cada abordagem neste resumo para nefrologistas.
Valkercyo Feitosa
12 meses atrás

Toda vez ficamos naquela dúvida se devemos ou não liberar o nosso paciente para realização de exames que utilizam o Gadolínio macrocíclico, qual tem sido a sua conduta?
Luís Sette
12 meses atrás

IRA por Síndrome Hepatorrenal na prática: saiba como tratar com segurança e foco no transplante. Um guia objetivo para o nefrologista.
Valkercyo Feitosa
12 meses atrás

Albumina na nefrologia: quando usar de verdade? Descubra neste resumo prático as evidências que embasam (ou não) o uso de albumina intravenosa na prática clínica diária.
Valkercyo Feitosa
12 meses atrás

Vamo relembrar os pontos mais importantes sobre os critérios diagnósticos, armadilhas na abordagem e as evidências mais recentes para o manejo da hiponatremia em pacientes renais. Vídeo rápido, prático e baseado nas diretrizes mais atualizadas! (parte 2)
Luís Sette
12 meses atrás

Vamo relembrar os pontos mais importantes sobre os critérios diagnósticos, armadilhas na abordagem e as evidências mais recentes para o manejo da hiponatremia em pacientes renais. Vídeo rápido, prático e baseado nas diretrizes mais atualizadas!
Luís Sette
12 meses atrás

Xenotransplante no Brasil: o futuro do transplante renal já começou. Conheça o projeto Xeno BR e saiba por que o rim será o primeiro órgão a cruzar a barreira entre espécies.
Valkercyo Feitosa
12 meses atrás

HPB e LUTS no consultório do nefrologista: quando medicar e quando encaminhar? Entenda como manejar sintomas urinários com segurança, escolher a melhor classe medicamentosa e reconhecer os sinais que indicam encaminhamento ao urologista. Um guia prático para decisões clínicas baseadas em evidência.
Valkercyo Feitosa
13 meses atrás

Sabe reconhecer e manejar intoxicação por lítio? Confira nosso guia rápido voltado para nefrologistas com indicações claras de hemodiálise e abordagens práticas para os diferentes tipos de toxicidade.
Valkercyo Feitosa
13 meses atrás

O que temos de evidência sobre o uso dos inibidores SGLT2 na DRPAD? Confere os principais cuidados e potenciais benefícios!
Luís Sette
13 meses atrás

U0001F50E Resistência a Diuréticos na Doença Renal Crônica: o que fazer quando o edema não responde? O uso de diuréticos é rotina no manejo da congestão na DRC, mas o que explica os casos em que a resposta é ineficaz? Neste post, discutimos os principais mecanismos de resistência, estratégias de otimização do tratamento e quando considerar combinações ou abordagens alternativas.
Luís Sette
13 meses atrás

Colonoscopia em pacientes dialíticos? Veja o que muda no preparo, quando suspender anticoagulantes e como garantir segurança no procedimento. Post prático e direto para o nefrologista!
Valkercyo Feitosa
2 anos atrás

Nada mais corriqueiro no dia a dia do nefrologistas do que solicitar a retirada da SVD, não é verdade? COnfere esse bate papo sobre manejo da SVD!
Luís Sette
2 anos atrás

Quando pensar na possibilidade de neoplasias em pacientes com glomerulopatias? Confere esse post com dicas práticas de manejo e rastreio diante da suspeita clínica!
Luís Sette
2 anos atrás

Análogos dos receptores GLP-1 na DRC: onde estamos e pra onde vamos? Do controle glicêmico à proteção renal, os agonistas de GLP-1 têm ganhado destaque. Neste post, exploramos evidências atuais e perspectivas futuras no manejo da DRC.
Luís Sette
2 anos atrás

O Uro-Vaxom® é um imunomodulador oral composto por extrato liofilizado de 18 sorotipos de Escherichia coli, indicado na profilaxia de infecções urinárias recorrentes. Será que existe evidência para prescrição deste medicamento?
Luís Sette
2 anos atrás

Além do tolvaptana, as diretrizes KDIGO destacam a importância de medidas não farmacológicas e abordagens complementares no manejo da DRPAD, como controle rigoroso da pressão arterial, redução de ingesta de sal e aumento de ingestão hídrica. Estudos em andamento também avaliam terapias-alvo envolvendo vias do mTOR, cAMP e inflamação. O manejo multidisciplinar permanece essencial para retardar a progressão da doença e melhorar a qualidade de vida.
Valkercyo Feitosa
2 anos atrás

As novas diretrizes KDIGO para a Doença Renal Policística Autossômica Dominante (DRPAD) atualizam os critérios de elegibilidade para o uso de tolvaptana, com ênfase na estratificação do risco de progressão rápida. O documento reforça a individualização da terapia com base em subclassificação por imagem (Mayo Clinic) e função renal. A incorporação prática dessas recomendações pode otimizar o manejo e retardar a progressão da DRC nesses pacientes.
Valkercyo Feitosa
2 anos atrás

DRPAD: Muito além dos cistos! O diagnóstico da Doença Renal Policística Autossômica Dominante exige olhar atento para história familiar, achados de imagem e diagnósticos diferenciais genéticos. U0001F4CC Atualize-se sobre os critérios diagnósticos e evite confusões com outras nefropatias císticas!
Valkercyo Feitosa
2 anos atrás

Teste genético na DRPAD: quando e por quê? Nem todo rim com cisto é DRPAD — o teste genético é ferramenta-chave nos casos atípicos, formas precoces ou sem histórico familiar claro. U0001F50E Diferencie DRPAD de outras doenças císticas e personalize o manejo do paciente!
Valkercyo Feitosa
2 anos atrás

Novos insights sobre doença renal do diabetes! Além da albuminúria: inflamação, fibrose e lesão túbulo-intersticial ganham destaque na fisiopatologia e no tratamento. U0001FA7A Não perca esses conceitos que podem mudar sua conduta na prática nefrológica!
Luís Sette
2 anos atrás

Gestação é hemodiálise é uma situação de muito risco, o nefrologista pode fazer muita diferença no desfecho materno-fetal, confere essas dicas de pontos que devemos estar atentos na prescrição de diálise de uma paciente gestante!
Valkercyo Feitosa
2 anos atrás

Caquexia e desnutrição na DRC: desafios e estratégias no manejo do paciente nefropata. Como identificar precocemente e intervir para melhorar prognóstico e qualidade de vida? Confira no post!
Luís Sette
2 anos atrás

A investigação de um paciente com Noctúria pode ser desafiadora. Primeiro, quando investigar? Como investigar? Como tratar? Confere essa NefroDica mostrando o passo a passo para manejo de um paciente com queixa de Noctúria
Luís Sette
2 anos atrás

Atualize sua prática clínica com estratégias baseadas em evidências para o manejo da hiperglicemia no pós-transplante! Este post detalha protocolos de insulinoterapia, transição para regimes orais e monitorização domiciliar – informações essenciais para nefrologistas que buscam otimizar os desfechos em pacientes transplantados. Confira e transforme seu cuidado clínico com práticas inovadoras e seguras.
Valkercyo Feitosa
2 anos atrás

Conheça as novas recomendações para o manejo da hipertensão em pacientes em diálise. Descubra como as diretrizes atualizadas aprimoram o diagnóstico e a terapia. Atualize sua prática clínica com estratégias inovadoras e baseadas em evidências.
Valkercyo Feitosa
2 anos atrás

PA elevada durante a diálise não equivale necessariamente a hipertensão crônica. Descubra os critérios diagnósticos das diretrizes brasileiras para uma avaliação precisa. Atualize sua prática clínica e otimize o manejo dos pacientes em diálise.
Luís Sette
2 anos atrás

A semaglutida revolucionou o tratamento da obesidade, mais recentemente apareceu como medicação que modifica desfechos renais em pacientes com DM2. Confere esse post com dicas práticas de como prescrever este medicamento!
Valkercyo Feitosa
2 anos atrás

Em um paciente com IC grave, qual o melhor acesso para hemodiálise? Confere os postos a serem avaliados na seleção da melhor via de acesso!
Valkercyo Feitosa
2 anos atrás

Quando devemos solicitar o Doppler de Artérias Renais na avaliação de um paciente com hipertensão e/ou DRC? Confere esse resumo prático para auxiliar no uso do dia dia.
Luís Sette
2 anos atrás

O tratamento da Nefropatia da IgA está longe de ser simples, principalmente agora com tratamento novos disponíveis. Confere esse Post que foca especificamente nas condutas disponíveis para realidade brasileira!
Luís Sette
2 anos atrás

U0001F4A1 Abscessos renais e perinefréticos: diagnóstico e manejo essencial para nefrologistas! Saiba como diferenciar essas infecções, quando indicar drenagem e otimizar o tratamento antibiótico para melhores desfechos clínicos. **Leia agora!**
Valkercyo Feitosa
2 anos atrás

Deficiência de B12 na DRC: Quando investigar e como repor? A carência de vitamina B12 é frequente na doença renal crônica e pode impactar a saúde neurológica e hematológica. Saiba quando suspeitar e como corrigir!
Luís Sette
2 anos atrás

Urodinâmica descomplicada: quando solicitar e como usar? U0001F50D Entenda como esse exame pode ajudar no diagnóstico e manejo de disfunções miccionais, melhorando a qualidade de vida do seu paciente!
Luís Sette
2 anos atrás

Bacteremia por Staphylococcus aureus na hemodiálise: como identificar, tratar e prevenir complicações graves? Descubra a abordagem baseada em evidências para melhorar o prognóstico de seus pacientes.
Valkercyo Feitosa
2 anos atrás

A lockterapia é uma ferramenta essencial na prática nefrológica, permitindo o controle eficaz das infecções de cateter sem comprometer a funcionalidade do acesso vascular. A adoção de protocolos baseados em evidências, conforme as diretrizes da KDOQI 2019, é fundamental para otimizar o manejo das infecções associadas ao CVC, minimizando complicações e melhorando o prognóstico dos pacientes dialíticos.
Valkercyo Feitosa
2 anos atrás

Doença Renal Crônica de causa indeterminada? A investigação etiológica precisa é essencial para direcionar o manejo adequado e evitar progressão acelerada. Saiba quais exames solicitar e como conduzir a avaliação diagnóstica!
Luís Sette
2 anos atrás

Doença Renal Crônica de causa indeterminada? A investigação etiológica precisa é essencial para direcionar o manejo adequado e evitar progressão acelerada. Saiba quais exames solicitar e como conduzir a avaliação diagnóstica!
Luís Sette
2 anos atrás

Como nefrologistas, estamos habituados ao manejo rotineiro de pacientes com hiperfosfatemia, uma complicação comum em doenças renais crônicas. No entanto, diante de um paciente com hipofosfatemia, que pode apresentar causas diversas e implicações clínicas significativas, como devemos estruturar uma investigação adequada?
Valkercyo Feitosa
2 anos atrás

A análise de proteínas monoclonais é essencial no diagnóstico e manejo de doenças renais relacionadas a gamopatias monoclonais, como mieloma múltiplo e DRC-MGRS. Esta aula abordará métodos diagnósticos, implicações clínicas e estratégias terapêuticas, destacando a relevância da integração nefro-hematológica para otimizar o cuidado ao paciente.
Luís Sette
2 anos atrás

Identificar proteínas monoclonais é crucial para diagnosticar doenças renais e sistêmicas associadas a gamopatias monoclonais. Esta aula explora métodos laboratoriais, sinais clínicos sutis e estratégias práticas para aprimorar o diagnóstico precoce e o manejo dessas condições na rotina médica.
Luís Sette
2 anos atrás

Confere essas dicas sobre meta de pressão arterial de acordo com o risco cardiovascular basal e o método de medição da pressão arterial
Valkercyo Feitosa
2 anos atrás

O estudo EMPA-KIDNEY mostrou que a empagliflozina reduz a progressão da doença renal e eventos cardiovasculares em pacientes com DRC, com ou sem diabetes. Os benefícios foram consistentes em diferentes subgrupos, destacando os inibidores de SGLT2 como essenciais na prática nefrológica.
Luís Sette
2 anos atrás

A intoxicação por citrato na TSRC é uma complicação rara mas que exige atenção especial, especialmente em pacientes de alto risco. Confere essas dicas práticas de manejo!
Bruna Rodrigues
2 anos atrás

Estudo FLOW do NEJM: um marco no tratamento de pacientes com doença renal crônica! Descubra os impactos revolucionários na preservação da função renal e redução de eventos cardiovasculares. Atualize-se com as evidências mais recentes!
Luís Sette
2 anos atrás

Conheça as estratégias para acompanhar familiares de pacientes diagnosticados com mutações nos genes COL4A3/COL4A4! Saiba como prevenir a progressão da doença renal e individualizar o cuidado com base nas melhores práticas.
Valkercyo Feitosa
2 anos atrás

Desvende a membranoproliferativa! Aprenda estratégias práticas e objetivas para investigar essa glomerulopatia desafiadora, otimizando diagnósticos e tratamentos na nefrologia.
Luís Sette
2 anos atrás

Essa padronização fortalece a qualidade da prática clínica, garantindo decisões terapêuticas mais seguras e eficazes para o manejo de pacientes nefrológicos e cardiológicos.
Valkercyo Feitosa
2 anos atrás

Desmame de corticoide nas glomerulopatias: estratégias para minimizar recaídas e preservar a função renal. Atualize-se com as melhores práticas para manejo seguro e eficaz!
Luís Sette
2 anos atrás

Anticoagulação na FA em Hemodiálise: 10 Dicas Práticas: Descubra estratégias eficazes e baseadas em evidências para otimizar a anticoagulação em pacientes com fibrilação atrial em hemodiálise, garantindo segurança e melhores desfechos clínicos.
Luís Sette
2 anos atrás

Explore as mudanças das abordagens mais recentes que podem mudar o cenário do manejo da nefrite lúpica. Entenda como metas personalizadas e estratégias modernas podem otimizar os resultados clínicos, reduzir complicações e melhorar a qualidade de vida dos seus pacientes.
Luís Sette
2 anos atrás

Conheça as informações sobre diagnóstico e manejo de anemias em pacientes com DRC no novo KDIGO 2025: atualize-se com as melhores práticas
Luís Sette
2 anos atrás

Conheça as informações sobre diagnóstico e manejo de anemias em pacientes com DRC no novo KDIGO 2025: atualize-se com as melhores práticas
Luís Sette
2 anos atrás

Confira as principais novidades do Congresso Americano de Nefrologia 2024! Novos trials que em breve vão mudar novas diretrizes sobre manejo das principais doenças renais foram destaques.
Luís Sette
2 anos atrás

Confira as principais novidades do Congresso Americano de Nefrologia 2024! Novos trials que em breve vão mudar novas diretrizes sobre manejo das principais doenças renais foram destaques.
Luís Sette
2 anos atrás

Confira as principais novidades do Congresso Americano de Nefrologia 2024! Avanços nos tratamentos personalizados para doenças renais e novas diretrizes sobre manejo de complicações renais foram destaques.
Luís Sette
2 anos atrás

Vamos explorar se os inibidores de SGLT2 realmente têm respaldo científico para uso no manejo da nefrite lúpica (NL). Acompanhe as mais recentes descobertas e debates sobre essa terapia na população de pacientes com NL.
Luís Sette
2 anos atrás

Vamos explorar se os inibidores de SGLT2 realmente têm respaldo científico para uso no manejo da nefrite lúpica (NL). Acompanhe as mais recentes descobertas e debates sobre essa terapia na população de pacientes com NL.
Luís Sette
2 anos atrás

Confira 10 dicas essenciais de imunossupressão no manejo da nefropatia membranosa! Abordaremos estratégias eficazes para otimizar o tratamento e reduzir riscos de complicações. Não perca essa oportunidade de aperfeiçoar suas práticas clínicas!
Luís Sette
2 anos atrás

Confira 10 dicas essenciais de imunossupressão no manejo da nefropatia membranosa! Abordaremos estratégias eficazes para otimizar o tratamento e reduzir riscos de complicações. Não perca essa oportunidade de aperfeiçoar suas práticas clínicas!
Luís Sette
2 anos atrás

Tiazídicos ainda têm espaço no manejo da DRC avançada? Descubra como e quando esses diuréticos podem ser eficazes no controle da hipertensão e sobrecarga hídrica em pacientes com função renal severamente comprometida (parte 2)
Luís Sette
2 anos atrás

Tiazídicos ainda têm espaço no manejo da DRC avançada? Descubra como e quando esses diuréticos podem ser eficazes no controle da hipertensão e sobrecarga hídrica em pacientes com função renal severamente comprometida.
Luís Sette
2 anos atrás

Quando tratar a estenose de artéria renal aterosclerótica? Descubra as diretrizes atualizadas e critérios para identificar os pacientes que se beneficiam de intervenções terapêuticas, otimizando o manejo da hipertensão e função renal.
Luís Sette
2 anos atrás

Descubra as melhores práticas para a investigação e diagnóstico da hipertensão renovascular! Saiba como identificar e manejar essa importante causa de hipertensão secundária em seus pacientes, garantindo tratamentos mais eficazes e precisos.
Luís Sette
2 anos atrás

Confere as últimas atualizações do KDIGO 2024 sobre Nefropatia da IgA neste terceiro vídeo que mostra quais novidades nos esperam em um futuro próximo no tratamento da IgA
Luís Sette
2 anos atrás

Confere nessa vídeo aula dicas super importantes no manejo da hiperuricemia no paciente com DRC, mudanças recentes sugerem que devemos medicar menos e focar em mudanças do estilo de vida!
Luís Sette
2 anos atrás

Confere as últimas atualizações do KDIGO 2024 sobre Nefropatia da IgA
Luís Sette
2 anos atrás

Confere as últimas atualizações do KDIGO 2024 sobre Nefropatia da IgA
Luís Sette
2 anos atrás

Confere dicas importantes de como abordar um paciente dom DRC e distúrbio mineral e ósseo
Luís Sette
2 anos atrás

O manejo da Nefrite Lúpica em paciente com Síndrome Antifosfolípide pode ser desafiador. Confere esse post com dicas importantes no manejo
Luís Sette
2 anos atrás

Confere dicas importantes de como abordar um paciente dom DRC e distúrbio mineral e ósseo
Luís Sette
2 anos atrás

Confere a terceira parte dessa série sobre complicações em diálise peritoneal, desta vez abordamos as complicações mecânicas e as principais condutas relacionadas à tecnica
Bruna Rodrigues
2 anos atrás

Diretrizes de cuidados em pacientes em programa de diálise é sempre um assunto complexo e delicado. Esse vídeo aborda pontos importantes a serem considerados na abordagem dos cuidados paliativos
Luís Sette
2 anos atrás

Confere as principais novidades do Congresso Europeu de Nefrologia 2024. Esse ano com muita novidade e inovação, no NefroUpdates você recebe tudo em primeira mão!
Luís Sette
2 anos atrás

Não perde as últimas novidades do Congresso Europeu. Neste post trazemos as novidades dos principais estudos clínicos apresentados no congresso e o seu impacto na prática clínica
Luís Sette
2 anos atrás

Confere essa grande novidade no mundo da nefrologia que foi apresentada no Congresso Europeu de Nefrologia 2024. Certamente um marco de um medicamento capaz de mudar a evolução da doença renal do diabetes
Luís Sette
2 anos atrás

No período de 23 a 26 de Maio está acontecendo o Congresso Europeu de Nefrologia - confere aqui que o NefroUpdates está trazendo as novidades em primeira mão para deixar você atualizado
Luís Sette
2 anos atrás

No cuidado com pacientes com glomerulopatias em uso de imunossupressores devemos ter atenção especial as medidas de prevenção de infecções comuns, seja com vacinação ou com antibióticoprofilaxia. Se liga nesse resumo nesse vídeo
Luís Sette
2 anos atrás

Tratamento da nefropatia diabética e obesidade é um tema essencial no dia a dia do ambulatório do nefrologista. Confere essa vídeo aula desse estudo muito interessante com 15 mil pacientes, um estudo de mundo real com iSGLT2 e análogos GLP1
Luís Sette
2 anos atrás

Assunto muito importante da prática do nefrologista, segue atualizações que provavelmente estarão no KDIGO 2024
Luís Sette
2 anos atrás

O uso da restrição proteica na DRC divide opinião, confere essa explicação, para avaliar a forma mais segura de restringir proteínas em idosos
Luís Sette
2 anos atrás

Como diagnosticar e conduzir um paciente com queixa de poliúria. Segue essa aula super prática
Luís Sette
2 anos atrás

O manejo de medicamentos ou substâncias potencialmente danosas ao rim deve ser uma prioridade no cuidado do paciente com DRC. Confere essa fica que deve virar uma rotina para os nefrologistas
Luís Sette
3 anos atrás
.webp)
A hipercalciúria é causa de inúmeras doenças na nefrologia. Além de tratar as complicações, é essencial identificar a doença de base. Confere essas dicas!
Luís Sette
3 anos atrás

Confere mais um capítulo importantíssimo do KDIGO 2024. Quais os principais pontos que podemos e devemos intervir para reduzir o risco de evolução para falência renal
Luís Sette
3 anos atrás
.webp)
Não perca as novidades do KDIGO sobre avaliação do risco de progressão de doença na DRC
Luís Sette
3 anos atrás

Já está por dentro das atualizações do KDIGO 2024? Confere tudo nessa aula!
Luís Sette
3 anos atrás

Quantas vezes não escutamos a pergunta "Doutor, o senhor não pode passar uma vitamina para meu pai?". Mas e ai? devemos prescrever ou não?
Luís Sette
3 anos atrás

É caso de polícia! Exame toxicológico falsamente positivo com uso dos iSGLT2. Confere esse caso pitoresco
Luís Sette
3 anos atrás

Frequentemente temos que individualizar o tratamento da Gota na DRC. Essas dicas podem facilitar o manejo no dia a dia
Luís Sette
3 anos atrás

Essa com certeza é uma dos principais desafios no manejo da DRC. Confere essas dicas práticas
Luís Sette
3 anos atrás

Sempre um tópico de difícil manejo na diálise. Confere essa aula super rápida e prática
Luís Sette
3 anos atrás

Confere esse apanhado sobre a doença mineral óssea no paciente em diálise
Luís Sette
3 anos atrás

10 pontos fundamentais que você não pode deixar de lembrar na prescrição da paciente gestante em diálise
Luís Sette
3 anos atrás

Diante de um angiomiolipoma renal, como saber diferenciar se tratar de uma causa esporádica ou faz parte do Complexo Esclerose Tuberosa? Confere essa dica
Valkercyo Feitosa
3 anos atrás

Tratamento da Nefrite Lúpica com células CAR T: uma possível (e provável) revolução no manejo da doença!
Luís Sette
3 anos atrás
.webp)
Por ser uma das doenças mais prevalentes do mundo, é necessário está por dentro de todas as inovações. Confere essa aula prática
Luís Sette
3 anos atrás

Já sabe como otimizar diuréticos na insuficiência cardíaca? confere essas dicas do dia a dia
Luís Sette
3 anos atrás
.webp)
A dificuldade de otimizar a UF em pacientes graves é um desafio para todo nefrologista. Esse vídeo aborda aspectos práticos para tratamento dialítico
Luís Sette
3 anos atrás

A investigação de disfunção renal em transplantado de órgãos sólidos pode ser desafiadora. Confere esse caso de infecção por BK em transplantado cardíaco
Valkercyo Feitosa
3 anos atrás

Confere essa dica prática essencial no manejo das peritonites
Valkercyo Feitosa
3 anos atrás

Relembra aqui as situações em que devemos utilizar creatinina, cistatina C e/ou associação das duas na prática
Luís Sette
3 anos atrás

Quando precisamos dialisar um paciente com hipocalemia é essencial a reposição do potássio no dialisato. Confere post explicando como fazer a reposição de forma prática.
Luís Sette
3 anos atrás

O cuidado antes, durante e após um procedimento em pacientes com DRC é um verdadeiro desafio. Confere esse vídeos abordando o assunto.
Luís Sette
3 anos atrás

O KFRE é uma ferramenta que ajuda na tomada de decisões no consultório. Confere esse vídeo explicando como associar seu uso na prática.
Luís Sette
3 anos atrás

Confere o entendimento sobre o uso dos iSGLT2 nos pacientes em terapia renal substitutiva
Luís Sette
3 anos atrás

Como podemos otimizar ao máximo o tratamento da doença renal do diabetes? Confere essa dica da terapia quádrupla.
Luís Sette
3 anos atrás

Devemos estar atentos a uma abordagem ampla e de qualidade no cuidado da DRC. Confere esse vídeo sobre o documento do KDIGO
Luís Sette
3 anos atrás

Mais um dia de novidades do Congresso Paulista de Nefrologia 2023
Luís Sette
3 anos atrás

Confere o resumão do primeiro dia do Congresso Paulista de Nefrologia 2023
Luís Sette
3 anos atrás

Tema em constante mudança para o nefrologista! Confere essa classificação.
Luís Sette
3 anos atrás

Confere essas dicas de como seguir o paciente com Nefrolitíase que foi submetido a intervenção urológica.
Luís Sette
3 anos atrás

O que temos de novidade sobre uso de Gliflozinas nos pacientes dialíticos?
Luís Sette
3 anos atrás

Como selecionar os pacientes que devemos realizar investigação metabólica diante de um quadro de Nefrolitíase? Confere essas dicas práticas.
Luís Sette
3 anos atrás

Afinal, qual o papel dos Stents no tratamento das estenoses de FAV? Confere esse artigo muito interessante!
Luís Sette
3 anos atrás

Quando estamos diante de um paciente com DRC indeterminada temos sempre a sensação de estar deixando algum diagnóstico importante passar, não é? Confere essa aula para organizar a investigação!
Luís Sette
3 anos atrás

Confere as atualizações que temos sobre uso da Budesonida no tratamento da Nefropatia por IgA
Luís Sette
3 anos atrás

A nefrocalcinose é causada por várias condições diferentes e o nefrologista precisa padronizar a investigação e condução, confere essas dicas práticas!
Luís Sette
3 anos atrás

O paciente chega com diagnóstico de TVP na perna que está o cateter de hemodiálise, e ai? como manejar? Confere essa dica prática!
Luís Sette
3 anos atrás

O tratamento da hiponatremia no consultório não é uma tarefa simples, porém simplificamos a abordagem com o que há de mais atual
Luís Sette
3 anos atrás

O manejo dos anticoagulantes em pacientes com DRC é um desafio, frequentemente temos receio do risco de trombose e sangramento. Confere esse vídeo com dicas práticas.
Luís Sette
3 anos atrás

Hiponatremia no consultório, o manejo adequado começa com diagnóstico preciso! Confere essa Nefrodica.
Luís Sette
3 anos atrás

O paciente com DRC possui uma elevada prevalência de fibrilação atrial. Confere essa atualização sobre o manejo!
Luís Sette
3 anos atrás

A hiponatremia frequentemente gera dúvidas no consultório do nefrologista. Confere esta nefrodica!
Luís Sette
3 anos atrás

Com o uso disseminado dos iSGLT2 temos que estar atentos a potenciais complicações, confere essa nefrodica
Luís Sette
3 anos atrás

Mais dicas de DRC do novo KDIGO 2023, confere essa nefrodica!
Luís Sette
3 anos atrás

Um dos pontos mais importantes do KDIGO 2023 foi a estratificação da progressão da DRC. Confere essa explicação super prática.
Luís Sette
3 anos atrás
Explore Nossos Cursos Especializados e Inscreva-se Agora para Avançar em sua Carreira e Beneficiar seus Pacientes