Linfadenopatia, disfunção renal e consumo de complemento

IRA, fadiga e sedimento urinário ativo

IRA sem etiologia, importância da biópsia renal! (caso clínico)

Hematúria e Lesão Renal Aguda em Paciente com Câncer Renal: Quando Pensar em Trombose da Veia Renal?

Úlceras dolorosas em paciente dialítico

Rejeição de enxerto e eosinofilia!

Hipercalcemia e linfadenopatia
### Vamos imaginar que recebemos o seguinte paciente para investigação de uma alteração de função renal
**Caso publicado no Kidney 360 ([link](https://journals.lww.com/kidney360/Fulltext/2021/10000/Kidney_Injury_in_a_Patient_with_Hypocomplementemia.20.aspx))**
Trata-se de um homem de 76 anos de idade com queixa de disúria e exames laboratoriais mostrando apenas **elevação da creatinina sérica**. O paciente não tinha história prévia de doença renal, relatava como comorbidades apenas uma dor lombar crônica, ansiedade e câncer de próstata tratado com prostatectomia.
A única alteração encontrada no exame físico foi uma pressão arterial elevada.
**Exames laboratoriais**
- Ur 49 mg/dl, **Cr 3,1** mg/dl
- **Hb 10,2** g/dl, sem trombocitopenia ou eosinofilia.
- Todos os outros exames laboratoriais foram normais.
- A avaliação sorológica mostrou **hipocomplementemia** (C3: 50 mg/dl; C4: 2 mg/dl) e FAN :320 (denso e pontilhado).
- O exame de urina evidenciou apenas **proteína 1+**, sem hematúria
**Exames imagem**
- A ultrassonografia mostrou rins bilaterais de 10,6 cm com ecogenicidade cortical normal.
- A tomografia computadorizada não demonstrou nefrolitíase, mas mostrou linfonodos aumentados no retroperitônio, pelve, região hilar à direita, mediastino, axila esquerda e área retropeitoral. Opacidades pulmonares em vidro fosco também foram observadas.
## Qual seria sua conduta aqui?
- Paciente provavelmente possui uma DRC, devemos apenas encaminhar para a hematologia para investigar anemia e adenomegalias?
- Devemos investigar melhor essa alteração de função renal?
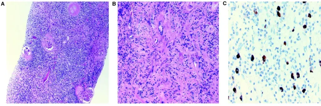
**Realizado biópsia renal** que evidenciou infiltrado intersticial intenso e difuso composto por linfócitos e plasmócitos envolvendo >70% do interstício (Figura). Identificado também fibrose estoriforme no interstício
Diante dos achados foi realizado a imunohistoquímica para IgG e IgG4 sendo evidenciado áreas focais com >10 células plasmáticas IgG4+/campo. Essa combinação de achados foi considerada consistente com o diagnóstico de **nefrite tubulointersticial relacionada a IgG4**.

Figura: Principais achados da biópsia renal para nefrite tubulointersticial relacionada a IgG-4. (A) Infiltrado denso de plasmócitos e linfócitos à microscopia de luz (coloração HE). (B) Fibrose estoriforme com aspecto de “cartwheel” é observada na microscopia de luz (coloração HE). (C) Células positivas para IgG4 são observadas em mais de 10 células por campo (imunohistoquímica para IgG4).
### Resumo sobre a Nefrite Tubulointersticial relacionada a IgG4
A doença relacionada à IgG4 é uma condição imunomediada que pode causar lesões fibroinflamatórias em qualquer órgão, inclusive os rins. A apresentação clínica é muito variável, incluindo envolvimento de múltiplos órgãos, podendo **simular malignidade**, **infecção** e **doenças reumatológicas**.
Os órgãos que podem estar envolvidos:
- Glândulas salivares
- Pâncreas e vias biliares
- Pulmões
- Rins
- Aorta infrarrenal
- Retroperitônio
- Linfonodos
- Meninges
- Glândula tireoide.
Os exames de sangue podem mostrar **consumo de complemento** e **níveis elevados de IgG4**. Achados radiológicos como “pâncreas em salsicha”, periaortite infrarrenal e massas pulmonares e renais são fortemente sugestivos de doença por IgG4.
Os rins podem ser acometidos com massas, linfadenopatia retroperitoneal (causando obstrução) e nefrite tubulointersticial.
Os achados patológicos incluem um **infiltrado linfoplasmocitário**, **fibrose estoriforme**, **flebite obliterante** e **infiltrados de plasmócitos IgG4+**.
O tratamento da nefrite tubulointersticial relacionada a IgG4 consiste principalmente em terapia com corticosteroides, que constuma ser bastante eficazes; no entanto, pode ocorrer recidiva durante desmame do corticóide. Não existe cura, casos refratários podem ser tratados com rituximab.
### PONTOS DE APRENDIZADO
- A doença relacionada à IgG4 é imunomediada que pode envolver praticamente qualquer órgão e causa lesões fibroinflamatórias.
- A nefrite tubulointersticial é uma das manifestações renais da doença relacionada à IgG4. Lembrar que a doença retroperitoneal pode causar obstrução ureteral e massas renais.
- A histologia revela um infiltrado intersticial linfoplasmocítico dominante com marcação para IgG4. Fibrose estoriforme e flebite obliterativa podem ser observadas.