Caso muito ilustrativo publicado no Kidney 360 ([**link**](https://journals.lww.com/kidney360/pages/articleviewer.aspx?year=2020&issue=06000&article=00024&type=Fulltext))
Paciente do sexo feminino com 43 anos e com antecedente de nefrite lúpica (NL) proliferativa há 13 anos. A paciente apresentava histórico de acometimento grave da doença, com múltiplos tratamentos com infusões de metilprednisona e ciclofosfamida devido ao acometimento do sistema nervoso central (SNC) e da NL.
Conforme evolução da doença a paciente apresentou um novo _flare_ renal com proteinúria de 6 g/g. Foi submetida a biópsia renal, que identificou lesões ativas e crônicas, como proliferação mesangial, lesões wire-loop e depósitos subendoteliais, intramembranosos, subepiteliais e mesangiais na microscopia eletrônica. Sendo tratada com novo pulso de metilprednisona, micofenolato de mofetila 1000 mg/dia e prednisona 10-15mg/dia. Foi feita uma tentativa de associação de tacrolimo ao esquema, mas foi descontinuado devido ao descontrole da glicemia. Neste momento a paciente também tinha o diagnóstico de **diabetes induzido pelo excesso de corticoides** e estava em uso de insulina há 7 anos, com uma hemoglobina glicada de 8,5%.
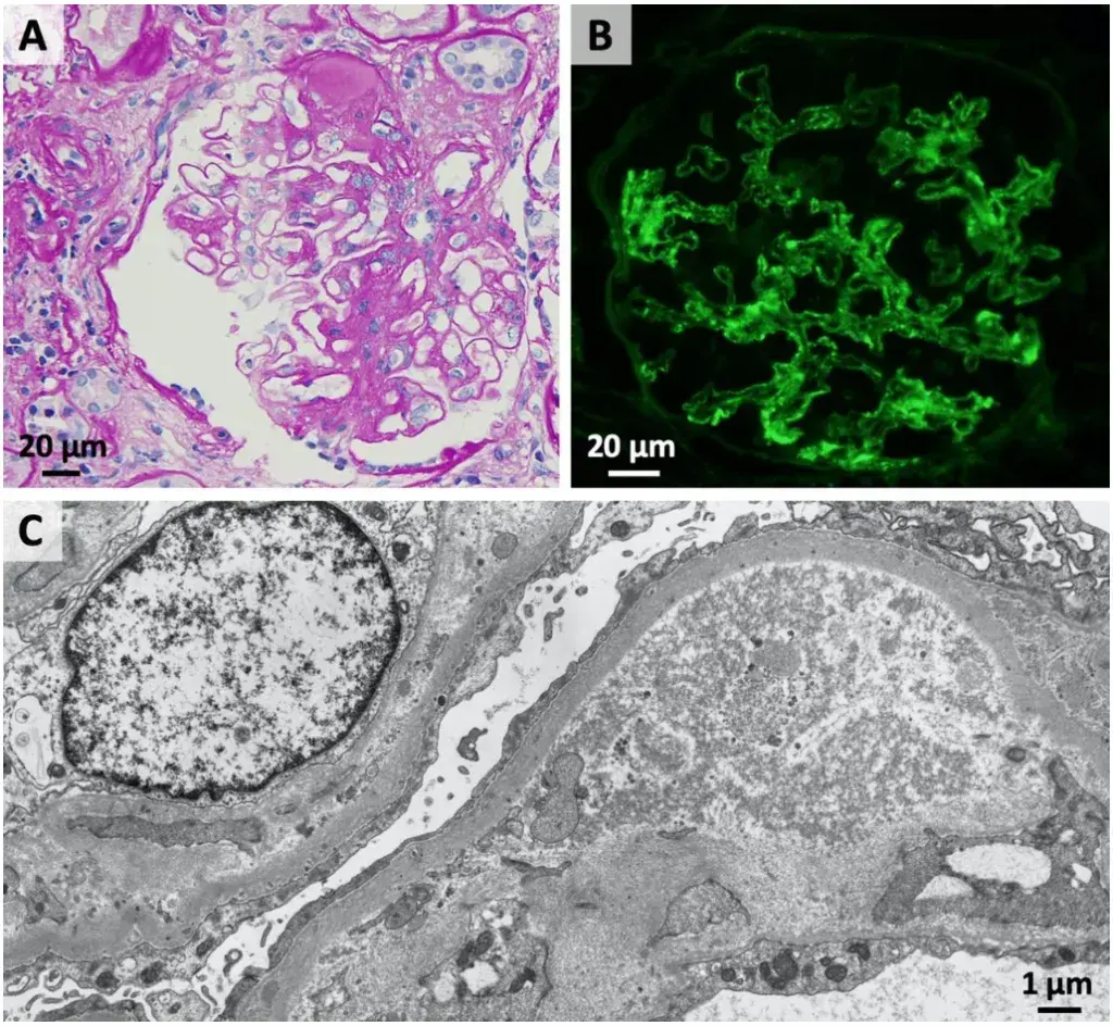
Após 04 após o último tratamento a paciente evoluiu com **novo** quadro de **edema nos membros inferiores**, **proteinúria** **de 8 g/dia** e **creatinina sérica de 1,27 mg/dl** (TFGe 37,5 ml/min/1,73m²), foi realizada uma nova biópsia renal (figura abaixo).

A microscopia de luz revelou glomérulos com lesões insudativas, hialinização arteriolar e proliferação mesangial (Figura 1A), mas **nenhuma** lesão ativa da nefrite lúpica foi identificada. A imunofluorescência mostrou **apenas** deposição linear de IgG ao longo da membrana basal glomerular com escassa deposição granular (Figura 1B). A microscopia eletrônica demonstrou apagamento do processo podocitário e espessamento da membrana basal.
Esses achados foram diagnósticos de **nefropatia diabética sobreposta a lesões crônicas de nefrite lúpica**.
Diante desses achados, foi adotada a estratégia de redução dos imunossupressores para o controle glicêmico rigoroso e manejo das complicações diabéticas.
### PONTOS DE APRENDIZADO
Diante de pacientes com nefrite lúpica que apresentam piora da proteinúria, repetir a biópsia renal é o padrão ouro para definir se estamos diante de um novo _flare_ renal ou de lesões cicatriciais.
Sabemos, no entanto, que a biópsia renal não é um recurso amplamente disponível, e sua realização não é isenta de riscos. Devemos ficar atentos a pacientes que evoluem com piora da proteinúria sem outros sinais de atividade de doença, como consumo de complemento ou elevação dos títulos de anti-DNAds.
Pacientes com exposição crônica aos corticoides e inibidores de calcineurina possuem um elevado risco de desenvolver diabetes. Devemos estar atentos à possibilidade de nefropatia diabética como diagnóstico diferencial nesses pacientes. Esse cuidado pode prevenir a exposição aos corticoides e seus efeitos colaterais.