
IRA na cirrose, nem sempre é síndrome hepatorrenal!
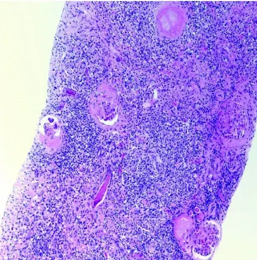
Pacientes portadores de cirrose hepática que evoluem com IRA possuem uma complexidade a parte. Confere essa revisão do CJASN.
Valkercyo Feitosa
3 anos atrás
16 artigos

Pacientes portadores de cirrose hepática que evoluem com IRA possuem uma complexidade a parte. Confere essa revisão do CJASN.
Valkercyo Feitosa
3 anos atrás

Vale a pena conferi o que eu aprendi no curso Hands on de POCUS do Congresso Europeu de Nefrologia 2023
Luís Sette
3 anos atrás

Todo dia descobrimos uma nova causa de IRA. Confere essa série de casos descritas em Israel de mulheres submetidas a alisamento capilar.
Valkercyo Feitosa
3 anos atrás

Luís Sette
3 anos atrás

Valkercyo Feitosa
3 anos atrás

Caso clínico interessante e enriquecedor para termos em mente na investigação de um paciente com disfunção renal sem causa aparemte.
Valkercyo Feitosa
3 anos atrás

Onconefrologia é um assunto novo para os nefrologistas, confere essa revisão super prática de como entender as diversas manifestações de doenças renais em pacientes com doenças oncológicas .
Luís Sette
3 anos atrás

O contraste iodado intravenoso tem sido implicado como uma importante causa de IRA há várias décadas, será que estamos superestimando este risco?
Valkercyo Feitosa
3 anos atrás

Paciente em diálise contínua apresentando acúmulo de material lipóide e coagulação frequente do sistema, o que pode ser?
Valkercyo Feitosa
3 anos atrás

O manejo da Síndrome Cardiorenal é um desafio para nefrologistas e cardiologista. Confere essas dicas super práticas e os estudos mais importantes sobre o tratamento.
Luís Sette
4 anos atrás

Vale a pena conferir esse caso no NEJM. Paciente de 88 anos com necessidade de Implante transcateter de valva aórtica (TAVI), evolui após 1 mês do procedimento com elevação de creatinina (1,4>2,8 mg/dl), leucocitose com eosinofilia (13%). Será que foi o contraste? Biopsia de pele revelou cristais de colesterol obstruído arteríolas. Essa é uma complicação bem
Valkercyo Feitosa
4 anos atrás

A SHR possui prognóstico reservado, temos que agir rápido para evitar prognóstico renal ruim, mas uma vez que a gente inicia noradrenalina ou terlipressina, qual nosso alvo terapêutico?
Valkercyo Feitosa
4 anos atrás

Luís Sette
4 anos atrás

A indicação de início de terapia dialítica na IRA permanece controversa, o estudo AKIKI 2 nos apresenta mais informação para melhor decisão!
Valkercyo Feitosa
4 anos atrás

Pacientes com acidose metabólica grave podem apresentar benefício com reposição venosa de bicarbonato, confere nossa avaliação sobre o estudo BICAR-ICU.
Valkercyo Feitosa
4 anos atrás

Caso clínico muito interessante publicado no NEJM (link), trata-se de um paciente em tratamento de hipercalemia com poliestirenossulfonato de cálcio por 06 dias. Paciente evoluiu com dor abdominal e sangramento intestinal. Realizado colonoscopia que revelou uma úlcera contínua com extensão da flexura esplênica até o reto (Painel A). Biópsia da mucosa colônica mostrou lesão epitelial
Valkercyo Feitosa
4 anos atrás
Explore Nossos Cursos Especializados e Inscreva-se Agora para Avançar em sua Carreira e Beneficiar seus Pacientes