Vamos de caso clínico (publicação do Kidney 360 - [link](https://journals.lww.com/kidney360/fulltext/2024/03000/nonalbumin_proteinuria_in_a_patient_with_slowly.17.aspx))
Paciente de 68 anos com antecedente de hipertensão, vitiligo e hiperlipidemia apresentou-se em consulta com nefrologista devido aumento lento e progressivo da creatinina sérica, que estava em 1,4 mg/dl no último exame, em comparação com 1,2 mg/dl há 4 anos.
O exame de urina mostrou proteína 1+, sem hemoglobina ou hemácias. Uma relação albumina/creatinina na urina de 73 mg/g. A relação proteína /creatinina urinária foi de 1.350 mg/g, muito discordante da albuminúria. Diante disso foi realizado estudo de paraproteínas, a imunofixação sérica, que evidenciou IgA kappa monoclonal e uma elevada relação kappa/lambda, que foi de 53,9 (referência 0,26 a 1,65), na dosagem de cadeias leves livres.
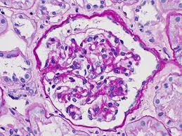
Procedido com realizada biópsia renal (abaixo) que mostrou características de uma tubulopatia proximal por cristais de cadeias leves, com lesão tubular acentuada e inclusões cristalinas intracelulares nos túbulos proximais.

Nas imagens da histologia renal é possível observar a deposição de cristais nas células dos túbulos proximais (Figura A e B). Na Figura C (microscopia eletrônica) é possível identificar as inclusões de cristais no epitélio tubular. A imunofluorescência foi identificado cadeia kappa. A coloração com vermelho Congo foi negativa para amiloidose.
Condução do caso: O paciente foi encaminhado para hematologia e foi realizada biópsia de medula óssea, que mostrou expansão de células plasmáticas de 30% consistente com mieloma múltiplo (MM).
##### Aprendizado
A proteinúria é dos sinais mais precoces de uma gamopatia monoclonal de significado renal, e a discordância no exame de urina entre proteinúria e albuminúria deve chamar atenção do nefrologista para o diagnóstico.
A tubulopatia proximal por cristais de cadeias leves é caracterizada pela deposição de cadeias leves nos túbulos proximais e pode ser dividida em dois tipos: cristalina e não cristalina, sendo a primeira mais comum. Em circunstâncias normais, o rim é capaz de reabsorver pequenas quantidades das cadeias leves livres filtradas no receptor de cubilina/megalina, localizado no tubulo proximal. Na tubulopatia proximal por cilindros de cadeias leves, os pacientes não apresentam metabolismo normal destas cadeias leves, que assumem diferentes formas e estruturas dentro dos lisossomos.
A apresentação clínica pode ser heterogênea, com grau variável de proteinúria (faixa subnefrótica ou nefrótica), início da síndrome de Fanconi em adultos e diferentes estágios de DRC. O tratamento é direcionado ao tratamento hematológico.