Fale Comigo
Whatsapp
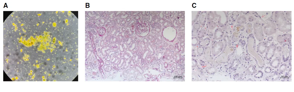
IRA + Icterícia: Um Caso que Exige Investigação Detalhada

IRA + Icterícia: Um Caso que Exige Investigação Detalhada

Valkercyo Feitosa
Valkercyo Feitosa · · 4 min
Posts Recomendados

Dê um Salto na sua Formação

Explore Nossos Cursos Especializados e Inscreva-se Agora para Avançar em sua Carreira e Beneficiar seus Pacientes