
Lombalgia e hematúria, uma causa incomum

Saúde mental no paciente com Doença Renal policística

IRA na cirrose, nem sempre é síndrome hepatorrenal!

Dor abdominal de início agudo, poderia ser uma causa renal?

“Doutor, é só um remédio natural”: Uma possível armadilha para o rim!

Dor lombar súbita e hipotensão: quando pensar em hemorragia renal espontânea?
Caso muito ilustrativo publicado recentemente ([link](https://journals.lww.com/kidney360/Fulltext/2023/07000/Anuric_Acute_Kidney_Injury_in_a_Patient_with_Left.22.aspx)):
Uma mulher de 48 anos com histórico de hipertensão, DPOC e tabagismo ativo deu entrada no pronto-socorro com dor aguda no flanco direito e IRA (Cr 1,7 mg/dl), apresentava PCR elevado e piúria, sendo então diagnosticada com infecção do trato urinário, iniciado antibióticos e liberada no mesmo dia.
Uma semana depois, a paciente retornou com dor aguda no flanco esquerdo, mas sem sintomas urinários. Exame físico normal, exceto pela elevação da pressão arterial. Os exames de sangue mostraram piora da função renal (Cr 6,9 mg/dl e Ur 141 mg/dl) e aumento persistente dos marcadores inflamatórios (leucócitos 28.100/mm3, proteína C-reativa 12,9 mg/dl. O exame de urina identificou proteinúria, hemoglobina e leucócitos.
O diagnóstico foi de pielonefrite, e a paciente recebeu antibióticos intravenosos. No entanto, durante a avaliação inicial, a paciente evoluiu com anúria súbita.
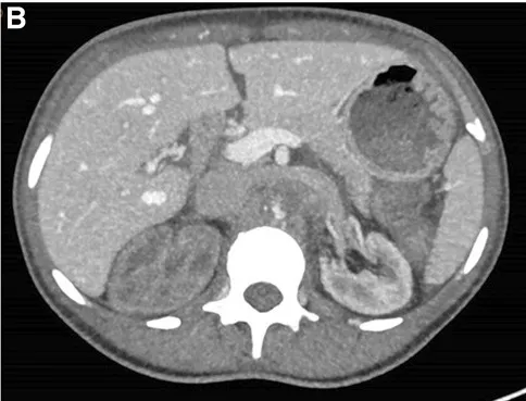
Realizado USG renal com Doppler que mostrou ecogenicidade e tamanho renal normais, mas sinais de oclusão aórtica na emergência da artéria mesentérica superior, o que foi confirmado por tomografia computadorizada com contraste (Figura 1).
A TC também revelou importante circulação colateral na parede abdominal, permitindo suprimento sanguíneo suficiente para os membros inferiores. Apenas o rim esquerdo mostrou captação residual de contraste (Figura 1), sugerindo rim direito isquêmico.
Foi realizada uma cirurgia de emergência com bypass aortobifemoral e anastomose da artéria renal esquerda, uma vez que foi assumindo que o rim esquerdo ainda estava viável. A paciente evoluiu com necessidade de hemodiálise após a cirurgia.
Após o procedimento foi observado aumento do volume urinário e recuperação gradativa da função renal após 02 semanas da cirurgia. USG doppler de controle mostrou fluxo sanguíneo normal no rim esquerdo. A hemodiálise foi descontinuada 27 dias após a cirurgia, e três meses depois, a sCr estava em 1,7 mg/dl.
TC com contraste (reconstrução 3D) mostrando oclusão aguda da aorta justa-superior da artéria mesentérica. (A) Oclusão aórtica justa-superior à artéria mesentérica (marcada com um ⊗) juntamente com vasos colaterais na parede abdominal (B) Rim esquerdo com realce de contraste e rim direito sem realce sugerindo falta de perfusão renal.

Discussão
A oclusão aórtica aguda (OAA) é uma condição com elevado risco de vida. A incidência relatada de AAO é de 3,8 por um milhão de pessoas-ano, sem diferenças entre os sexos e com elevada taxa de mortalidade em 30 dias entre 21% e 52%.
A apresentação clínica da OAA pode variar de isquemia de membros, paraplegia, isquemia visceral, lesão renal aguda e hipertensão refratária. A principal causa de OAA é a trombose sobreposta de uma aorta abdominal aterosclerótica. A localização mais comum da AAO é infrarrenal (diferente do caso apresentado).
Neste caso, o desenvolvimento de circulação colateral preveniu a isquemia dos membros inferiores e limitou os sintomas à lesão renal aguda. Trata-se de uma doença aterosclerótica obstrutiva aterosclerótica crônica da aorta, com progressão súbita de trombose à nível suprarrenal levando a IRA e anúria. O tabagismo ativo é um fator de risco bem estabelecido para doença aterosclerótica.
Diante da suspeita clinica o exame de USG Doppler pode ser usado rotineiramente na sala de emergência e assim sugerir o diagnóstico. A revascularização cirúrgica é o tratamento de escolha, e as opções incluem embolectomia transfemoral, aortotomia direta ou by-pass. Este caso destaca a importância do diagnóstico imediato levando a uma recuperação renal bem-sucedida.
Pontos de Aprendizado
* A oclusão aórtica aguda é uma condição incomum, mas potencialmente grave, com alta morbidade e mortalidade, exigindo reconhecimento e intervenção precoces.
* A apresentação clínica da OAA pode variar de isquemia de membros, paraplegia, isquemia visceral, insuficiência renal e hipertensão resistente.
* Por se tratar de uma queixa comum, a dor lombar pode não ser valorizada no nosso dia a dia, porém devemos ter mais atenção a causas de IRA por complicações vasculares (arteriais e/ou venosas) em pacientes de maior risco (pacientes com vasculopatia e tabagistas) que cursem com IRA e dor lombar sem explicação aparente.
* A tomografia computadorizada com contraste é a base no diagnóstico de OAA, e a revascularização cirúrgica, se apropriada, é o tratamento de escolha.