El cuadro clínico descrito sugiere un diagnóstico de "pielonefritis enfisematosa". En esta condición, se produce una infección renal grave que resulta en la producción de gas en el parénquima renal, en el espacio perirrenal y, en algunos casos, en la vena renal. La pielonefritis enfisematosa es una condición rara pero potencialmente grave que requiere tratamiento inmediato con antibióticos y, en algunos casos, intervención quirúrgica. La mejora clínica y radiológica del paciente después del tratamiento es una señal positiva, pero esta es una condición que requiere un monitoreo cuidadoso y seguimiento médico para garantizar una recuperación completa.

**O que podemos aprender com esse caso?**
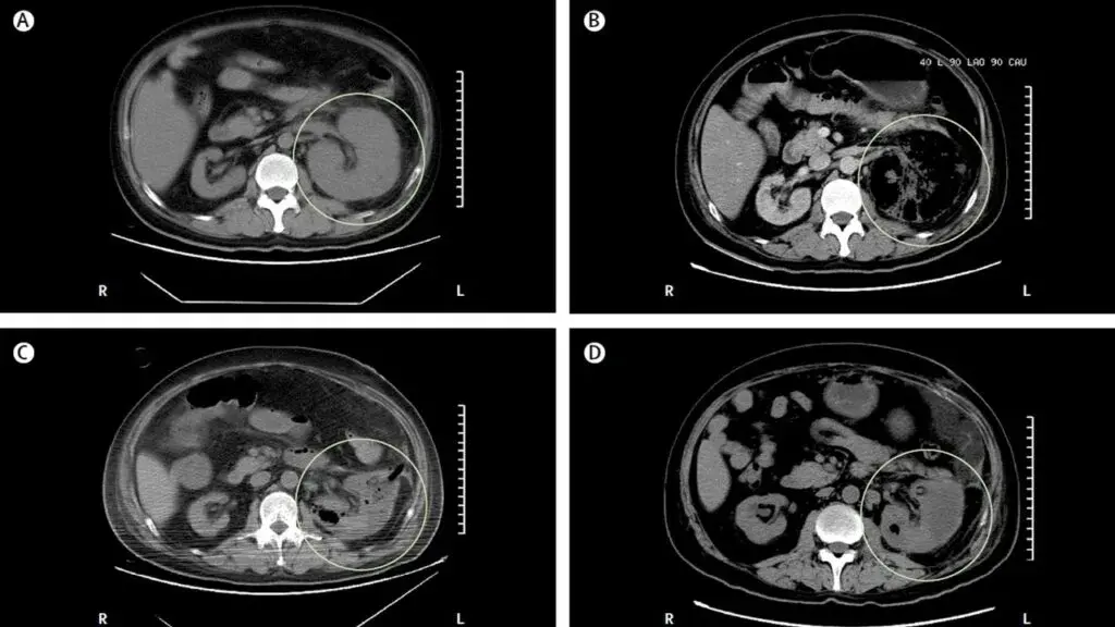
Caso típico de **pielonefritis enfisematosa** publicado en The Lancet ([link](https://www.thelancet.com/journals/lancet/article/PIIS0140-6736(19)30771-8/fulltext)). Los casos generalmente son resultado de una infección por *Escherichia coli* en pacientes con diabetes descompensada y obstrucción del tracto urinario. La glucosa es un sustrato para la proliferación de bacterias fermentadoras (*Enterobacteriaceae*) que producen dióxido de carbono e hidrógeno. **Es importante destacar el alto riesgo de embolización**. Cuando hay obstrucción presente, es obligatorio desobstruir la vía urinaria. En casos con gas en el parénquima o espacio perirrenal, se sugiere fuertemente la drenaje percutáneo. Si el gas se limita al espacio colector (pielitis aislada), el tratamiento con antibióticos es suficiente.
Dê um Salto na sua Formação
Explore Nossos Cursos Especializados e Inscreva-se Agora para Avançar em sua Carreira e Beneficiar seus Pacientes